Advertorial

  • Trending in the US

🚨UPDATE: WaterSonic Ultrasonic Teeth Cleaner is SELLING OUT faster than expected! Lock in your order NOW to get 50% OFF + FAST SHIPPING

Home > Oral health > Watersonic

Dental Hygiene Perspective: A Safer Way to Manage Tartar Buildup at Home

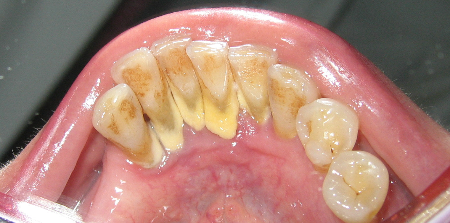
If you struggle with recurring tartar buildup, surface stains, or plaque along the gumline — even with regular brushing and flossing — this short educational overview may help explain why.

3,791 Ratings

  • By Michael R. Thompson, RDH - Dental Hygiene Specialist

Published: January 16, 2026

Alt image

Hi, my name is Michael Thompson, and I’ve worked in dental hygiene and preventive oral care for many years. 

 

Throughout my career, I’ve worked with a wide range of patients — from those with excellent daily habits to those struggling with ongoing oral health challenges. One issue I see consistently, regardless of age or routine, is persistent tartar buildup.

 

Many of the people I work with brush regularly, floss carefully, and genuinely try to take care of their teeth. Yet they’re often frustrated when tartar continues to form along the gumline or between teeth despite their efforts.

Over time, I’ve seen tartar contribute to concerns such as:

  • Recurrent buildup despite proper brushing

  • Gum irritation or bleeding during cleaning

  • Staining near the gumline

  • Increased bacterial accumulation in hard-to-reach areas

These patterns are extremely common and not limited to people with poor oral hygiene.

 

From a dental hygiene perspective, this usually signals that routine home care has reached its limit — and that a different approach is needed once plaque hardens into tartar.

Tartar Buildup Can Become Severe Enough That People Stop Recognizing It as “Normal”

In my work as a dental hygiene professional, I’ve seen tartar buildup progress to a point where patients are genuinely surprised when they’re shown what’s happening along their gumline.

 

What often begins as light surface plaque can gradually harden and accumulate, changing the appearance of the teeth and gums over time. Because this happens slowly, many people don’t realize how significant the buildup has become until it’s clearly visible.

 

It wasn’t until earlier this year, while reviewing patient cases and current oral care practices, that I began to look more closely at why this pattern keeps repeating — and whether it could be addressed earlier, before reaching this stage.

 

That question led to an important realization.

The Overlooked Root Cause Behind Persistent Tartar Buildup

What if I told you that recurring tartar buildup isn’t primarily caused by how often you brush — but by what happens after plaque hardens? 

 

From a dental hygiene perspective, this can seem counterintuitive at first. Most people assume that more brushing or better tools will eventually solve the problem.

 

However, once plaque mineralizes into tartar, it becomes firmly attached to the tooth surface. At that point, traditional brushing and flossing no longer disrupt the structure of the buildup. 

 

In clinical practice, this is the stage where ultrasonic tools are introduced — not because brushing failed, but because the physical nature of tartar has changed. 

 

Understanding this shift is essential. It explains why tartar continues to return despite consistent daily care.

Here’s where most approaches miss the real issue.

As a dental hygiene professional, I often see people try to address tartar by doing more of what they’ve already been doing — brushing longer, flossing harder, or switching toothpaste. 

 

The problem is that once plaque hardens into tartar, surface-level cleaning no longer reaches the structure of the buildup. These methods focus on what’s visible, not on what’s bonded to the tooth. 

 

That’s why popular approaches like manual scraping, abrasive tools, or dry vibration often fail to deliver consistent results. They apply force without addressing control, temperature, or precision. 

 

In clinical settings, the focus is different. The goal is to disrupt tartar safely — without stressing the surrounding enamel or gum tissue. 

 

When the method doesn’t match the nature of the problem, progress stalls.

So what’s the correct way to address tartar once it has hardened?

From an oral care perspective, the solution is not to scrub harder or repeat the same routine more aggressively. 

 

Once plaque has mineralized into tartar, it needs to be disrupted — not brushed over. That disruption has to be precise, controlled, and safe for the surrounding enamel and gum tissue. 

 

Many professionals will explain that ultrasonic energy is effective at breaking down hardened deposits. The challenge is applying that energy in a way that doesn’t create discomfort or risk. 

 

And if you’re already dealing with sensitivity or gum irritation, aggressive approaches are often the last thing you want to try. 

 

This is one of the main reasons many people feel stuck — they’re told what works in a clinical setting, but not how it could be applied safely outside of it. 

 

Fortunately, there is a more controlled way to approach this.

Manage Tartar at Home Using the Same Principle Used in Professional Cleanings

Alt image

This is possible because of a principle commonly used during professional dental cleanings: controlled ultrasonic disruption combined with continuous cooling. 

 

In clinical settings, ultrasonic tools are paired with water to safely break down hardened tartar while regulating temperature and minimizing stress on surrounding tissue. 

 

The vibration helps disrupt mineralized deposits, while the water cools the area, reduces friction, and supports gum comfort throughout the process. 

 

For a long time, the challenge was accessibility. This type of controlled technology was limited to dental offices, where equipment is larger, more expensive, and operated by trained professionals. 

 

As a result, people were left with two extremes: either wait for professional cleanings, or try at-home tools that lacked the same level of control. 

 

That gap is what modern oral care technology has begun to address.

Introducing WaterSonic Ultrasonic Dental Cleaner

Alt image

WaterSonic is designed to apply the same core principle used during professional dental cleanings — controlled ultrasonic disruption combined with continuous water cooling — in a compact, home-use device. 

 

When activated, the device delivers regulated ultrasonic vibrations to help break down hardened tartar deposits. At the same time, integrated water cooling helps manage temperature, reduce friction, and support gum comfort throughout use. 

 

This combination allows mineralized buildup to be addressed more precisely than surface-level brushing alone. 

 

From an oral care perspective, this approach focuses on control rather than force, which is critical when working near sensitive gum tissue and enamel.

At the time of writing, WaterSonic is already being used by thousands of individuals as part of their regular oral hygiene routine. 

 

Many users turn to it specifically to help manage tartar buildup between professional cleanings, especially when recurring deposits are a concern.

 

Independent customer feedback reflects a high level of satisfaction with both comfort and usability.

  • Emily R.

Rating stars

It’s genuinely worth the investment

Reviewed in the United States on December 5, 2025

Verified Purchase

I decided to try WaterSonic after struggling with tartar buildup for years, even though I brush and floss daily. I was hesitant at first, mainly because I’m cautious about my gums. 

 

I started using it gradually and was surprised by how controlled and comfortable it felt. The water cooling made a noticeable difference compared to other tools I had looked into before. I now use it regularly as part of my routine, usually in the morning or evening, and it’s helped me stay on top of buildup between cleanings. 

 

The device is quiet, easy to handle, and doesn’t feel aggressive at all. For me, it’s been a practical addition to daily oral care.

76 people found this helpful

  • William B.

Rating stars

This genuinely surprised me with how effective it feels

Reviewed in the United States on October 10, 2025

Verified Purchase

I wasn’t sure what to expect when I ordered WaterSonic, and honestly assumed it might be just another tool that ends up sitting in a drawer. I’ve dealt with tartar buildup and sensitivity for years, and most solutions either felt too aggressive or didn’t make much difference. 

 

I decided to give this a try mainly because of the water cooling and adjustable settings. I started using it gradually, and what surprised me most was how controlled and comfortable it felt from the beginning. 

 

Within the first few weeks, I noticed it was much easier to keep buildup under control between cleanings. It doesn’t feel harsh at all, and the device is quiet enough that using it regularly isn’t a hassle. 

 

I liked it enough that I ended up ordering another one for a family member who’s had similar issues. They were skeptical at first too, but now use it regularly as well. 

 

I don’t see this as a replacement for professional care — but as a practical, affordable way to stay on top of things at home. Very glad I tried it.

53 people found this helpful

AS SEEN ON:

This Approach Has Helped Many People Better Manage Tartar Between Cleanings

From an oral care perspective, the most meaningful changes are often gradual — improved control, reduced buildup, and better comfort over time.

 

While individual results vary, consistent use of controlled ultrasonic cleaning has helped many people feel more confident about managing tartar at home.

Just imagine:

No longer feeling surprised by how quickly tartar returns

No longer worrying about aggressive tools near your gums

No longer feeling stuck between cleanings with no practical option

Instead, having a clear, controlled way to stay on top of buildup as part of your regular routine.

With WaterSonic, this process doesn’t require complicated steps. 

 

Most users incorporate it into their routine for short sessions, using the intensity level that feels appropriate for their sensitivity. 

 

The focus is on consistency and control — not force — allowing tartar to be addressed gradually over time.

How Can You Get Access to WaterSonic?

This is usually where people ask two practical questions — how it’s available, and what to expect in terms of access. 

 

The first part is not always straightforward. Designing a device that combines controlled ultrasonic energy with continuous water cooling requires precise components, extensive testing, and careful quality control. 

 

Because of this, production capacity is not unlimited. Each unit goes through multiple checks to ensure it performs consistently and safely for home use. 

 

As interest in this approach has grown, availability has varied. At times, demand has exceeded the number of units ready for shipment. 

 

For that reason, access is offered in limited batches as new inventory becomes available. When a batch sells out, the next availability depends on production timelines. 

 

If you’re reading this now, it means a limited number of units are currently available — but that status can change as orders are placed.

Availability Can Change Quickly Once a Batch Sells Out

Once a production batch is fully allocated, restocking is not immediate. 

 

Because devices like WaterSonic require precise components and multiple quality checks, manufacturing timelines can vary. When inventory runs out, it may take several weeks — and sometimes longer — before the next shipment becomes available. 

 

This isn’t about artificial scarcity. It’s a reflection of how carefully controlled production needs to be for a device intended for regular home use. 

 

As interest in this approach has grown, demand has at times outpaced supply. When that happens, access is temporarily paused until the next batch is ready. If you’re considering WaterSonic as part of your oral care routine, timing can matter.

 

With that in mind, here’s how you can check current availability and decide whether WaterSonic is right for you.

WaterSonic Is Available Exclusively Through Its Official Website

WaterSonic is not distributed through retail stores or third-party marketplaces. 

 

You won’t find it on large online platforms, and it isn’t sold through resellers. This is intentional. Devices that appear similar elsewhere are often unverified imitations that do not use the same controlled ultrasonic and water-cooling design. 

 

The only place to obtain an authentic WaterSonic unit is through the official website, where quality control, warranty coverage, and customer support can be properly maintained. 

 

From a pricing perspective, it’s important to understand what goes into a device like this. The technology involved requires specialized components, careful assembly, and multiple quality checks to ensure it’s appropriate for regular home use. 

 

When evaluated purely on development and production costs, similar devices are often priced significantly higher. The current pricing reflects a balance between accessibility and maintaining proper manufacturing standards. 

 

From an oral care standpoint, the goal has always been to make this approach available to as many people as possible — not to position it as a luxury product.

We Priced It at About Half of What Industry Consultants Recommended

When discussing pricing for a device like WaterSonic, external consultants often focus purely on market positioning, margins, and perceived value. 

 

Based on the technology involved and comparable products in adjacent categories, higher price points were frequently suggested. 

 

From a business perspective, those recommendations made sense. 

 

But from an oral care perspective, that approach didn’t fully align with the goal behind this device. 

 

WaterSonic was developed to help people manage recurring tartar buildup more effectively between professional cleanings — not to become a premium product that only a small group could access. 

 

I’m not approaching this as a marketer. I’m approaching it from the standpoint of making a controlled, safer at-home option reasonably accessible. 

 

That’s why the final price was set significantly lower than what was initially advised.

A single investment designed for long-term use

No recurring appointment costs to rely on between cleanings

A practical tool intended to last for years, not months

When you look at it over time, the value isn’t about one use — it’s about ongoing support for daily oral care without unnecessary barriers.

I Decided to Offer a Special Limited-Time Price So More People Could Access WaterSonic

Currently available for $169.95

This is the lowest price this device is expected to be offered at. 

 

Because WaterSonic is produced in limited batches, pricing and availability are tied directly to inventory. Once the current batch is fully allocated, access will pause until the next production run is completed. 

 

When that happens, both availability and pricing may change. 

 

If you choose to move forward now, you’re securing access at the current price — before the remaining units are gone.

Once this batch sells out, this price will no longer be available.

If WaterSonic feels like the right addition to your oral care routine, you can check current availability by selecting the button below.

GET 50% OFF 
WATERSONIC NOW!

Your purchase is backed by a satisfaction guarantee, allowing you to evaluate WaterSonic at home and decide whether it meets your needs.

 

The goal is informed choice — not pressure.

You Have 90 Days to Test WaterSonic, Completely Risk-Free

Alt image

Yes — you have a full 90 days to decide if it’s right for you. Every oral care routine is different, and it takes time to understand whether a new tool truly fits your needs. 

 

That’s why WaterSonic comes with a 90-day trial period. You can use it as part of your routine, adjust the intensity to your comfort level, and see how it works for you over time. 

 

If you’re satisfied, you’re welcome to keep using it long-term. If, for any reason, you decide it’s not the right fit — whether that’s after a few uses or several weeks — you can request a full refund within the 90-day period. 

 

No complicated process. 

No pressure. 

No explanations required. 

 

It doesn’t matter whether it’s early on or near the end of the trial window. As long as it’s within 90 days of purchase, your refund will be processed. If you have questions at any point — about usage, settings, or general care — our customer support team is available to help. 

 

Clear contact information is provided with every order, and assistance is available whenever you need it. 

 

This means the decision carries no financial risk. From the moment you place your order, your time and your purchase are fully protected.

Here’s What to Do Next

Alt image

To check current availability and access the limited-time pricing, select the button below. You’ll be taken to the official, secure website. 

 

From there, simply choose the option that works best for you and proceed to checkout. Your order will be processed through an encrypted payment system, and you’ll be able to review all details before completing your purchase. 

 

Once your order is placed, you’ll receive confirmation and tracking information as soon as your unit ships.

 

Many people choose to order more than one unit. 

 

Some prefer having WaterSonic available in more than one place, such as at home and while traveling. Others choose an additional unit for a partner or family member, especially when oral care routines are shared. 

 

Ordering multiple units can also reduce overall shipping costs per device, which is reflected automatically at checkout.

 

If WaterSonic feels like a good fit for your routine, this is the most straightforward way to secure access while the current batch and pricing are still available.

GET 50% OFF 
WATERSONIC NOW!

Remember — There Is No Financial Risk in Trying WaterSonic

The only real risk here is choosing to do nothing. 

 

If you decide not to act, the situation doesn’t usually improve on its own. Tartar buildup tends to return, and the same cycle continues — temporary surface cleaning, followed by recurring deposits and frustration between professional cleanings. 

 

You may find short-term workarounds, but they rarely address the underlying issue once plaque has hardened. 

 

I’m not sharing this to create fear — only to be honest. From an oral care perspective, ignoring persistent tartar buildup often means the problem gradually becomes more difficult to manage over time.

 

By contrast, trying WaterSonic comes with protection. 

 

You have 90 days to use it at home, see how it fits into your routine, and decide whether it’s right for you. If it’s not, you’re not committed. 

 

That means the decision today isn’t about risk — it’s about whether you want to explore a more controlled approach now, or continue managing the same issue the same way.

 

So the real question is simple: Would you rather give yourself the opportunity to try a safer, controlled at-home option — or continue hoping the problem resolves itself?

GET 50% OFF 
WATERSONIC NOW!

At this point, there are really only two paths forward. 

 

One is to continue as things are — managing tartar as best you can, waiting for the next professional cleaning, and hoping buildup doesn’t become more difficult to control over time. 

 

The other is to give yourself a chance to try a more controlled approach now. 

 

And this decision isn’t only about you. It’s about the people around you — the ones who notice your frustration, who see you worrying about recurring dental issues, and who want you to feel confident and comfortable in your daily life. 

 

It’s about maintaining habits that support your health long-term, rather than constantly reacting when problems resurface. 

 

You owe it to yourself to at least explore an option that’s designed to give you more control.

 

Many people I’ve worked with were unsure at first — and chose to try it anyway. 

 

You can make that choice too. 

 

All it takes is a willingness to test a safer, more controlled option and see how it fits into your routine.

 

If you’re ready to take that step, select the button below to check availability and place your order. 

 

And remember — if it doesn’t meet your expectations, you don’t pay.

GET 50% OFF 
WATERSONIC NOW!

UPDATE (January 2026): Current demand for WaterSonic has increased, and units from the latest batch are being allocated quickly.

 

You can currently check availability with limited-time pricing and priority shipping while inventory lasts. To avoid delays, orders are processed on a first-come basis as units are allocated.

 

Note: WaterSonic is not available through Amazon, eBay, or retail stores. Authentic units are only offered through the official website.

Check Availability
Comments
Add a comment…
Lisa Bennett Can anybody vouch for this?
LikeReply39 min
Amanda Collins I was skeptical too, but it actually helped a lot with buildup near my gums. I use it a few times a week and my teeth feel much cleaner.
LikeReply👍 316 min
Emily Parker I bought mine for the full price and now it’s 50% off? That’s not fair.
LikeReply👍 451 min
Jason Walker How long does shipping take?
LikeReply1 h
Daniel Foster Mine arrived in about a week.
LikeReply👍 224 min
Brian Mitchell I like the design and how it fits comfortably. I enjoy using it.
LikeReply👍 41 h

Finally Take Control of Tartar Buildup Between Dental Cleanings

GET 50% OFF 
WATERSONIC NOW!

30-day money back guarantee

Customer Reviews

Title

4.8 out of 5

1456 customer ratings

5 star

90%

4 star

7%

3 star

2%

2 star

0%

1 star

1%

By Feature

Price

5.00

Effectiveness

5.00

Comfort

4.8

Quality

4.8

GET 50% OFF WATERSONIC NOW!